Take an extraordinary photo of an ordinary thing.
While I didn’t take the photo myself, per se, I did pay a ridiculous amount for it to be taken (until the insurance paid out).
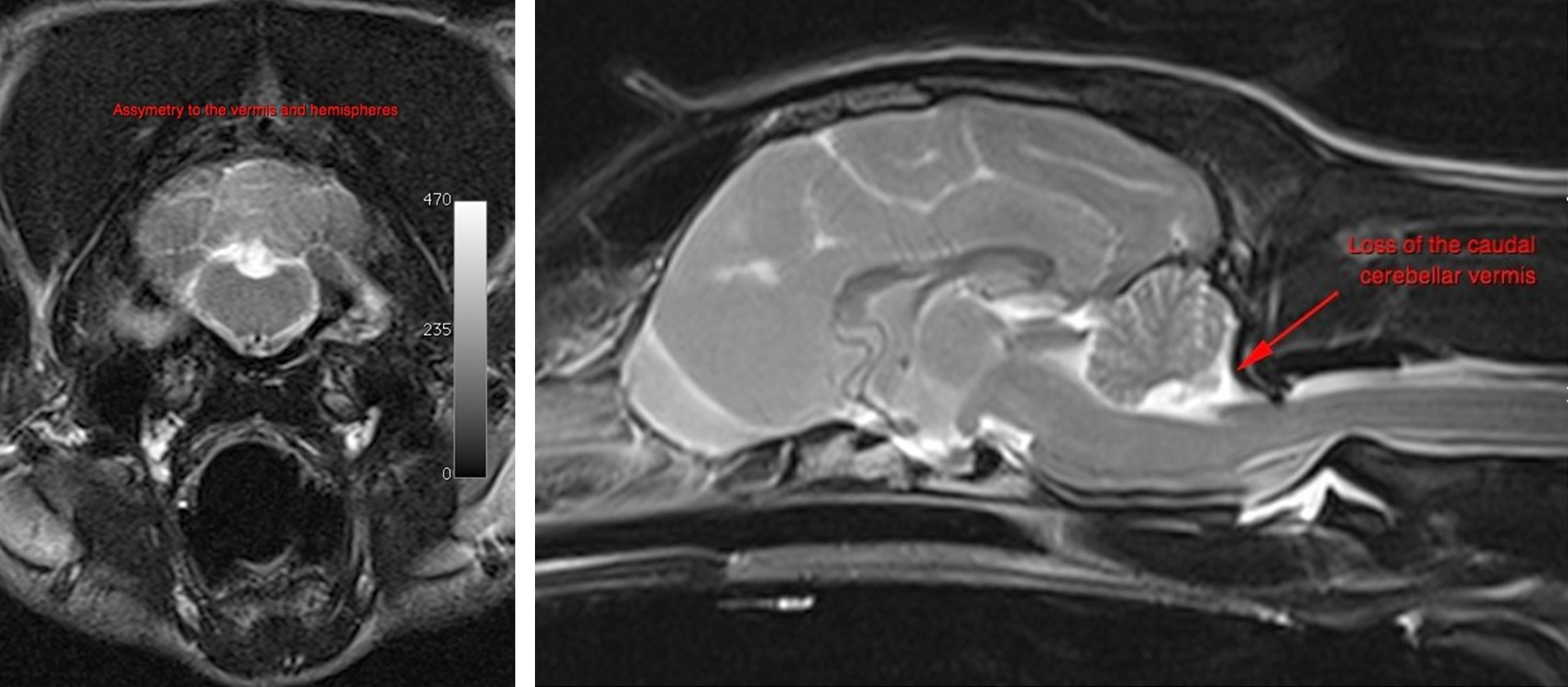
In case it’s not clear, it’s a photo of a dog, with a little bit of her brain missing, bless her!
